まず、今回御協力いただいたモニターの方々にこの場をお借りして深く感謝いたします。
二重のカウンセリングをしていると、“切開法なら自分の思うような形になりますか?”というご質問を多く受けます。
一般の方の認識では、埋没法は広い二重を作り難く、取れてしまうことがある、切開法はどんな二重でも作れて取れないという事ではないでしょうか?
これは、部分的に正解で部分的に誤っていると思います。というのは、切開法、埋没法に関わらず、自由自在に目の形を作ることは不可能だと思うからです。
ご本人の元の目の形を無視して、デザインというものは成り立ちません。
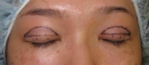
とくに目のデザインに影響を与えるのは、瞼板の形で、言い換えれば、目の縁のカーブの形なのです。これにご本人の希望を加味してデザインを行います。
1人目の方の術前と術後の状態を比較していただきたいと思います。
二重のカウンセリングをしていると、“切開法なら自分の思うような形になりますか?”というご質問を多く受けます。
一般の方の認識では、埋没法は広い二重を作り難く、取れてしまうことがある、切開法はどんな二重でも作れて取れないという事ではないでしょうか?
これは、部分的に正解で部分的に誤っていると思います。というのは、切開法、埋没法に関わらず、自由自在に目の形を作ることは不可能だと思うからです。
ご本人の元の目の形を無視して、デザインというものは成り立ちません。
とくに目のデザインに影響を与えるのは、瞼板の形で、言い換えれば、目の縁のカーブの形なのです。これにご本人の希望を加味してデザインを行います。
1人目の方の術前と術後の状態を比較していただきたいと思います。
いずれの場合も目の元々の癖と瞼板の形状を考えてデザインしてあります。
このような違いは二重の幅を違うようにデザインすることにより手術することが可能です。
また、平行型の二重にして欲しいという方にもよくお会いしますが、平行型のデザインでは単純に幅を広くすれば良いというものではありません。
大事なのは目頭側のラインで、ここを広くする必要があります。
また、あまり広いデザインをすると、眼瞼下垂のような眠い目になってしまうこともありますので、注意が必要です。
平行型をご希望された方の術前と術後の状態をお見せしますが、術前の状態では、皮膚の余りがあるために、単に切開しただけでは、皮膚が垂れ下がり、不自然な感じになってしまいます。
大事なのは目頭側のラインで、ここを広くする必要があります。
また、あまり広いデザインをすると、眼瞼下垂のような眠い目になってしまうこともありますので、注意が必要です。
平行型をご希望された方の術前と術後の状態をお見せしますが、術前の状態では、皮膚の余りがあるために、単に切開しただけでは、皮膚が垂れ下がり、不自然な感じになってしまいます。
いずれの場合も術前のデザインが非常に大事ですので、担当医との術前カウンセリングを大事にしていただきたいと思います。
切開法なら二重のデザインの幅は広がりますが、ご本人の元の目の形を無視して、デザインというものは成り立ちません。とくに目のデザインに影響を与えるのは、瞼板の形で、言い換えれば、目の縁のカーブの形なのです。これにご本人の希望を加味してデザインを行います。




